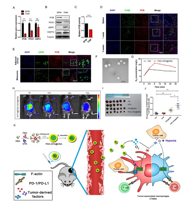
肿瘤相关巨噬细胞(Tumor-associated macrophages, 简称TAMs)在调控肿瘤发生发展中占据枢纽地位,是有意义的治疗靶标。沈萍萍教授团队长期从事TAMs功能与调控机制方面的研究,并结合临床实践进行免疫治疗技术研发工作。在巨噬细胞代谢重编程及基于此的免疫治疗新策略构建方面,获得系列研究进展。最近的又一项工作发现:糖异生代谢限速酶—丙酮酸羧化酶(PCB)发挥了非经典生物学功能,改变TAMs功能性极化表型而介导了肿瘤进展。
PCB是糖异生代谢途径的限速酶之一,在催化非糖物质转变为糖,维持细胞能量稳态过程中发挥关键作用。然而,针对PCB的非经典生物学功能的发现甚少。研究人员在进行人体肿瘤组织样本分析时,发现 TAMs与正常组织巨噬细胞中PCB丰度的显著差异,基于此进行的深度解析表明:肿瘤组织乏氧条件是诱导TAMs中PCB丰度与活性下降的关键因素;TAMs中PCB水平下调与免疫逃逸、肿瘤进展密切相关。PCB在其中的作用机制为:通过促进肌球蛋白MYH6与F-actin的结合而重塑巨噬细胞骨架,驱动TAMs对肿瘤细胞的吞噬。在这一结果启示下,研究人员进一步构建了递氧/激活PCB的双功能纳米颗粒FDC-GTA@HSA,通过同时改善乏氧并激活PCB,抑制细胞IRF1-PD-L1轴,再造了TAMs的免疫杀伤力。FDC-GTA@HSA的应用亦增强了微环境中CD8+ T细胞的浸润,逆转微环境免疫抑制状态(图1)。该项研究结果不仅发现PCB 的非经典生物学功能与调控新机制,而且构建了“靶向干预TAMs极化”的专利技术,可用于进一步免疫治疗新策略的构建。

图1:靶向调控PCB而重塑TAMs免疫杀伤功能
研究成果以“Intervening pyruvate carboxylase stunts tumor growth by strengthening anti-tumor actions of tumor-associated macrophages为题,于2022年2月发表于Signal Transduction and Targeted Therapy (STTT),论文链接为https://www.nature.com/articles/s41392-021-00807-w。太阳成集团tyc33455cc博士研究生束雨新、杨南飞、程楠主要负责该项工作的实验研究,太阳成集团tyc33455cc附属鼓楼医院肿瘤研究中心邹征云主任医师、美国德州大学健康科学中心施谦博士亦参与了研究工作。
太阳成集团tyc33455cc、医药生物技术国家重点实验室沈萍萍教授,深圳大学医学部朱卫国教授是该论文的共同通讯作者。该研究工作得到国家重点研发计划“蛋白质机器与生命过程调控”重点专项、江苏省科技计划项目基金、国家自然科学基金等项目资助。